play_arrow

keyboard_arrow_right

Listeners:

Top listeners:

skip_previous play_arrow skip_next
00:00 00:00
chevron_left
chevron_left
  • cover play_arrow

    RADIO ROXI TIMELESS TUNES

Alternative News

3545 Results / Page 56 of 394

Background

Alternative News

FBI investigates “targeted violence” amid free speech clashes – NaturalNews.com

Antifa attacks Christians in Seattle: FBI investigates “targeted violence” amid free speech clashes Christian prayer rally shut down; Seattle tolerates Antifa and BLM protests with violent outcomes. FBI under Trump/Bongino investigates Antifa’s attack on religious assembly, breaking with prior Biden-era policies. Mayor Harrell condemns Christian event as “far-right,” deflects blame for violence. Protest organizers accuse city of religious bigotry and First Amendment violations. Dual demonstrations erupt in Seattle, highlighting deepening political polarization over […]

today31/05/2025

Alternative News

Trump’s Abuse of Pardons Undermines Entire Justice System: Reagan Official Bruce Fein

This is a rush transcript. Copy may not be in its final form.AMY GOODMAN: This is Democracy Now!, democracynow.org. I’m Amy Goodman. We end today’s show with a slew of pardons President Trump has issued, many this past week. In one case, Trump pardoned Scott Jenkins, a former Virginia sheriff and longtime Trump supporter, convicted on corruption charges after undercover video showed he accepted over $75,000 in bribes. In another […]

today30/05/2025

Alternative News

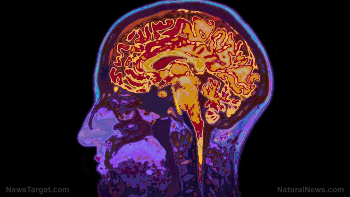
Methylene blue and near-infrared light show promise in preventing brain degradation – NaturalNews.com

Study: Methylene blue and near-infrared light show promise in preventing brain degradation A study has found that low-dose methylene blue and near-infrared light can protect neurons by boosting mitochondrial energy production, offering a potential treatment for neurodegenerative diseases like Alzheimer's and Parkinson's. Methylene blue enhances cellular energy by improving electron transport in mitochondria. Near-infrared light stimulates brain enzymes, increasing oxygen delivery and neuron survival without being invasive. Both therapies have repurposed […]

today30/05/2025

Alternative News

Headlines for May 29, 2025

Deliberate Israeli Mismanagement of Desperately Needed Aid Is Killing More Palestinians in GazaIsrael Kills Journalist Moataz Rajab, at Least the 221st Media Worker Killed in GenocideInt'l Doctors Barred from Entering Gaza as U.S. Surgeon Testifies "Child Protections in Gaza Are Gone"Israel Approves Largest Settlement Expansion Amid Mounting Raids, Killing of West Bank PalestiniansFederal Trade Court Blocks Most of Trump's TariffsTrump Nominates Personal Defense Attorney Emil Bove to Serve as Appellate […]

today30/05/2025

Alternative News

Over 1.5 million avoidable deaths occurred in USA AFTER Covid-19 mostly disappeared – must be the deadly mRNA JABS – NaturalNews.com

POST-PANDEMIC DEATH SPIRAL: Over 1.5 million avoidable deaths occurred in USA AFTER Covid-19 mostly disappeared – must be the deadly mRNA JABS Oh, the carnage of the clot shots. The world can see it now. How many people who got the deadly mRNA spike prion blood-clotting jabs for Covid would NEVER get another one now? Millions, if not billions, of people around the globe are suffering nightmarish health outcomes […]

today30/05/2025

Alternative News

Fear, Repression & Brain Drain: U.S. Campuses Reeling as Trump Freezes, Revokes Student Visas

This is a rush transcript. Copy may not be in its final form.NERMEEN SHAIKH: Secretary of State Marco Rubio warned the government will start “aggressively” revoking the visas of Chinese students, one day after the Trump administration announced it’s halting the processing of visas for foreign students as it prepares to require additional social media vetting for every applicant. Rubio said students with links to the Chinese Communist Party, which […]

today30/05/2025

Alternative News

Harvard fires star professor after investigation finds fabricated data in dishonesty studies – NaturalNews.com

Harvard fires star professor after investigation finds fabricated data in dishonesty studies Harvard fired ethics professor Francesca Gino after a 1,300-page investigation found that she falsified data in multiple studies, marking its first tenure revocation since the 1940s. Gino, who was once a million-dollar professor, was banned from campus, stripped of salary and benefits, and barred from publishing under Harvard’s name. Critics highlight a double standard as former president Claudine Gay […]

today30/05/2025

Alternative News

Mosquito Protocol: Ex-Israeli Soldier on Army’s Systematic Use of Palestinians as Human Shields

This is a rush transcript. Copy may not be in its final form.AMY GOODMAN: This is Democracy Now!, democracynow.org, The War and Peace Report. I’m Amy Goodman, with Nermeen Shaikh. NERMEEN SHAIKH: We turn now to Gaza, where more evidence is coming to light about how Israel has systematically used Palestinians as human shields in violation of both international and Israeli law. That’s the conclusion of a new investigation by […]

today30/05/2025

Alternative News

Acetaminophen and antidepressants lead to childhood ER visits at significant rate — a symptom of a bigger problem poisoning kids’ brains – NaturalNews.com

Acetaminophen and antidepressants lead to childhood ER visits at significant rate — a symptom of a bigger problem poisoning kids’ brains Every day, nearly 100 children in Australia alone are rushed to emergency rooms due to adverse drug reactions—many from medications parents assume are safe. Acetaminophen (Tylenol) and antidepressants top the list, raising urgent questions about the long-term risks of these widely used pharmaceuticals. A groundbreaking report from the […]

today30/05/2025

0%